Tooth Sculpting / Reshaping

Unfortunately, not all of us can be born with picture-perfect teeth.

Sometimes, our teeth could use a little help getting there. Whether you’re looking to further improve the appearance of your teeth after braces, or for a simple fix to even out misshapen teeth, tooth reshaping may be the solution best-suited for you.

What is tooth reshaping?

Tooth reshaping/ dental contouring is a technique used in cosmetic dentistry to alter the length, shape, or surface of your tooth to improve its overall appearance.

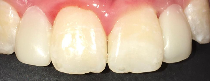
Tooth reshaping is often used in combination with bonding, a procedure that involves the use of tooth-coloured material to sculpt your tooth or fill in the gaps between teeth.

dental bonding northern ireland dental bonding cookstown
dental bonding northern ireland dental bonding cookstown

How is tooth reshaping done? 

First, your dentist will x-ray your teeth to pinpoint the exact location of your tooth’s pulp (the sensitive innermost layer of your tooth that contains your tooth’s nerve endings) and to determine how much pulp your tooth contains. Where the outer layer of your tooth (enamel) is too thin or the pulp is too close to the tooth’s surface, your dentist will not recommend reshaping and will suggest another procedure.

If your dentist decides that you’re good to go, a small amount of your tooth’s enamel will be removed, using either a drill or a laser. Your tooth will be reshaped according to your desired specifications and then polished to smooth out any jagged edges and to add a natural-looking sheen.

What are the differences between tooth reshaping and bonding? 

Where tooth reshaping involves the removal of some of your tooth’s enamel, bonding involves adding tooth-coloured composite resin to your teeth in order to alter the look of your teeth.

Bonding doesn’t require major changes to be made to the actual structure of the tooth and is best used to fill in slight gaps between teeth and to improve tooth colour.

Small changes can help make a big difference to the look of your smile.

Advantages of tooth reshaping

  • The entire procedure doesn’t take very long and offers instant results;
  • Tooth reshaping is painless because there are no nerves in the outer layer of your teeth. Therefore, no anaesthesia is required;
  • Once the reshaping has been done, the results are permanent;
  • There is no need for follow-up appointments with your dentist;
  • Tooth reshaping helps prevent the build-up of plaque by removing those crevices between teeth that make it difficult to brush and floss properly;
  • Where you may have been considering braces, reshaping could possibly be a viable option as it creates the appearance of straighter teeth and rectifies minor overlapping;
  • Tooth reshaping is a cost-effective procedure, relatively cheaper than other cosmetic dentistry procedures.

Disadvantages of tooth reshaping 

  • Tooth reshaping can only be used to correct minor cosmetic issues because only a limited amount of enamel can be removed from your teeth;
  • The results are subtle and don’t offer a drastic change;
  • Reshaping is not very effective on overly crooked or misshapen teeth;
  • Because the process includes the removal of some of the enamel, you may experience tooth sensitivity;
  • Due the weakened tooth enamel, you will need to be careful when coming into contact with hard foods and objects in order to avoid tooth breakage.

Cosmetic dental issues that can be corrected with tooth reshaping Tooth reshaping can be effective in:

  • Fixing tiny chips in your teeth;
  • Levelling out those pits or bulges in the enamel of your teeth;
  • Making slight adjustments to uneven teeth to make them appear straighter;
  • Making minor adjustments to your canines so that they are on the same level as your other teeth.

Caring for your teeth after tooth reshaping

Following tooth reshaping, you will need to be very careful when exposing your teeth to hard foods. Furthermore, you will need to avoid biting your fingernails and pens, as well as using your teeth as a bottle-cap opener or as an extra pair of hands to hold onto heavy objects.

A desensitizing toothpaste can be used to help relieve symptoms of tooth sensitivity. And remember to be gentle when brushing your teeth, making sure your brush in circular motions without exerting too much force on your teeth.

Reshape your teeth at Loy Dental Care  

If you’ve been considering reshaping your teeth, don’t hesitate to give us a call. The friendly team at Loy Dental Care will help you decide if reshaping your teeth is the best treatment for you.

We’re here to answer all your questions about tooth reshaping and other cosmetic dentistry procedures that can give you that picture-perfect smile!

Small changes can help make a big difference to the look of your smile.


Book an appointment

028 8676 6072